【施術報告 足痛】施術例52 野球で走り出した際になってしまったハムストリングスの肉離れ

2026年03月31日

【患者情報】

20代男性/会社員/在住

【症状】

・安静時痛・歩行困難・座位困難・屈曲困難

初見時は安静時でも痛みがあり、膝関節の屈曲が困難でり座位も困難であった。患部には熱感と軽度の腫脹が認められ、歩行については通常の3倍程度の時間をかけて歩行する状態であった。仕事は身体を動かすことが多い職種であったため、業務にも支障をきたしていた。

画像に alt 属性が指定されていません。ファイル名: IMG_5514-1-1024x934.jpg
画像に alt 属性が指定されていません。ファイル名: 3a05b6048970614e12207dec08675700-2.jpg

【経過と施術内容】

エコー検査により、右半腱様筋挫傷の疑いと判断した。初回施術では、炎症症状が強かったため、アイシングと圧迫固定を実施し、低出力での超音波治療を行った。圧迫固定により、安静時痛にわずかな改善が見られたが痛みは激烈であった。3日間超音波治療・アイシングを中心に行い炎症を抑えることに努めた。炎症症状の軽減後は軽度の整体で筋肉の柔軟性回復を行った。受傷後1週間で歩行時の痛みは消失し跛行は見られなくなり15日後には階段昇降時の痛みも消失した。日常生活での痛みは気にならなくなったが競技復帰を目的としてリハビリテーションを行った。初期にはコアレ(EMS)を使用して軽度の負荷から筋肉の再形成を行った。初回施術からリハビリテーションまで14回の施術を経て競技復帰可能なレベルまで回復し、治癒と判断した。

【考察】

段階的なアプローチにより、受傷から比較的早期に日常生活動作の改善が得られ、最終的には競技復帰まで達成することができた。本症例では、炎症期の適切な処置と、その後の段階的な運動療法の導入が、効果的な治療成果につながり早期の競技復帰になったと考えられる。

【使用した技】

ハイボルト・超音波治療器・鍼治療(殷門、承扶)・コアレ(EMS)・トレーニング

【足の痛み日頃のケアは?】

ストレッチやゴムハンマーなどで体を柔らかくするのを忘れずにしてくださいね。ふくらはぎの痛みのケアになります。

●足の症状
画像に alt 属性が指定されていません。ファイル名: IMG_4493-300x225.jpg

ゴムハンマー整体®️足のスネ

船堀発祥のゴムハンマー整体®︎シンスプリントの緩和

船堀発祥のゴムハンマー整体®︎シンスプリント(前脛骨筋のケース)の緩和

丸山式ゴムハンマー整体®︎前脛骨筋腱の腱鞘炎

丸山式ゴムハンマー整体®︎足関節脱臼骨折治癒後のリハビリ
丸山式ゴムハンマー整体®︎足首の痛み

ゴムハンマー整体®︎ふくらはぎ

船堀発祥のゴムハンマー整体®︎足のむくみケア

●足裏の症状
画像に alt 属性が指定されていません。ファイル名: IMG_0894-300x300.jpg

丸山式ゴムハンマー整体®︎足裏のコリ

丸山式ゴムハンマー整体®︎足底筋膜炎

有痛性外脛骨の改善【船堀発祥ゴムハンマー整体®︎&ストレッチ】

●踵の痛み
画像に alt 属性が指定されていません。ファイル名: IMG_4495-300x225.jpg

船堀のはればれ当院のメニュー

料金・アクセス

お得なキャンペーン

画像に alt 属性が指定されていません。ファイル名: top_mesode-281x300.png

足の痛み、ふくらはぎの痛みをさらに根本的に改善、再発防止、予防をご希望の方は、ゴムハンマー整体EMS、パーソナルトレーニング、、ダイエット、メンタルケア、栄養アドバイスなどがございます。

【船堀のはればれ鍼灸整骨院のメリットとは?】

【施術報告 足首の痛み】施術例55 子供の足首捻挫は要注意!(前脛腓靱帯損傷と骨端線損傷疑い)

2026年03月12日

患者情報

10代男子/小学生/松江在住

症状

 ボルダリング中に約3メートルの高さから落下し、着地の際に左足首を捻ってしまった。受傷直後から痛みで荷重出来なくなった。

経過と施術内容

初診

 受傷翌日に来院。外くるぶし(外果)が腫れており通常の捻挫よりも高位での組織損傷が推察された。著明な圧痛は外果中央と遠位脛腓間に認められた。この2か所をエコー画像診断装置で確認したところ、「前脛腓靱帯損傷」と「外果骨端線損傷の疑い」が確認できた。通常のよくある捻挫と異なり高所からの転落で足首が受けたダメージも大きいため、固定力の高いシーネ固定を施した。骨端線損傷については、エコーだけでの判断は難しいため、整形外科と協力し経過を確認しながら施術をすすめることとした。

第2~18診

 初回の整形外科での検査では、骨端線損傷の診断には至らなかったが、靱帯の損傷度合は大きくシーネ固定を1か月間継続することとなった。隔週でレントゲン撮影を行い骨端線に異常がないか経過を観察することとなった。

第19~22診

 前脛腓靱帯の圧痛が消失したためシーネからサポーター固定へ変更した。脛腓間に負担のない範囲で筋力訓練を開始した。

第23~26診

 サポーター着用はスポーツ活動時のみとした。ジャンプなど強度を上げた筋力を実施した。

第27診

 約2ヵ月半で治癒となった。

考察

 子供の足関節捻挫は、軽くみられがちですが骨折などが潜んでいることがあり注意が必要です。子供の場合、問診に対する返答が曖昧なことがあるので損傷組織の確認とその程度を客観的に判断することが大切です。

使用した技

マイクロカレント、筋力訓練、超音波画像診断装置、シーネ固定

●足の症状

ゴムハンマー整体®️足のスネ

船堀発祥のゴムハンマー整体®︎シンスプリントの緩和

船堀発祥のゴムハンマー整体®︎シンスプリント(前脛骨筋のケース)の緩和

丸山式ゴムハンマー整体®︎前脛骨筋腱の腱鞘炎

丸山式ゴムハンマー整体®︎足関節脱臼骨折治癒後のリハビリ
丸山式ゴムハンマー整体®︎足首の痛み

ゴムハンマー整体®︎ふくらはぎ

船堀発祥のゴムハンマー整体®︎足のむくみケア

●足裏の症状

丸山式ゴムハンマー整体®︎足裏のコリ

丸山式ゴムハンマー整体®︎足底筋膜炎

有痛性外脛骨の改善【船堀発祥ゴムハンマー整体®︎&ストレッチ】

●踵の痛み

船堀のはればれ当院のメニュー

料金・アクセス

お得なキャンペーン

足の痛み、ふくらはぎの痛みをさらに根本的に改善、再発防止、予防をご希望の方は、ゴムハンマー整体EMS、パーソナルトレーニング、、ダイエット、メンタルケア、栄養アドバイスなどがございます。

【船堀のはればれ鍼灸整骨院のメリットとは?】

【施術例 脚の痛み疲れ】施術例55 立ち仕事で脚が異常に疲れる!!(反張膝)

2026年01月6日

患者情報

20代女性/会社員/二之江町在住

症状

 半年前に転職し立ち仕事の時間が長くなった。ここ最近は、脚が異常に疲れてしまい毎日マッサージに通っている。整形外科でレントゲン撮影し特に問題はないと言われたが、仕事後は腿の前や膝裏が痛むこともある。

経過と施術内容

初診~第3診

 下肢の筋肉が張っていたので、手技療法を実施した。施術後に改善は見られたが、来院がほぼ毎日なのが懸念点であった。施術の効果は一日も継続していないようであった。

第4診

 下肢のアライメントを確認したところ、立位の状態で膝が過伸展(可動域を超えて伸びている)している状態(反張膝)であった。施術では、これまで通り手技療法を行い、仕事中は膝を軽く曲げた正常なアライメントの状態で立つように意識して頂いた。

第5~16診

 立ち姿勢を意識したことで、徐々に改善していき2ヵ月ほどで施術は終了となった。

考察

 膝が可動域を超えて伸ばせてしまう状態を「反張膝」といいます。過伸展した膝はバタ足をしたときに、水を効率良くかくことができるので水泳選手に多く見られます。この患者様も学生時代に水泳を本格的にやっていたそうです。競技には有利に働く反張膝ですが、陸地で歩行する際には、下肢の筋肉に負担が掛かりやすいです。今回の症状では、特別な技術などは不要でしたが、患者様の状態を的確に確認することが改善へのポイントでした。

使用した技

手技

●足の症状

ゴムハンマー整体®️足のスネ

船堀発祥のゴムハンマー整体®︎シンスプリントの緩和

船堀発祥のゴムハンマー整体®︎シンスプリント(前脛骨筋のケース)の緩和

丸山式ゴムハンマー整体®︎前脛骨筋腱の腱鞘炎

丸山式ゴムハンマー整体®︎足関節脱臼骨折治癒後のリハビリ
丸山式ゴムハンマー整体®︎足首の痛み

ゴムハンマー整体®︎ふくらはぎ

船堀発祥のゴムハンマー整体®︎足のむくみケア

●足裏の症状

丸山式ゴムハンマー整体®︎足裏のコリ

丸山式ゴムハンマー整体®︎足底筋膜炎

有痛性外脛骨の改善【船堀発祥ゴムハンマー整体®︎&ストレッチ】

●踵の痛み

船堀のはればれ当院のメニュー

料金・アクセス

【初回限定|体験トライアル】

足の痛み、ふくらはぎの痛みをさらに根本的に改善、再発防止、予防をご希望の方は、ゴムハンマー整体EMS、パーソナルトレーニング、、ダイエット、メンタルケア、栄養アドバイスなどがございます。

【船堀のはればれ鍼灸整骨院のメリットとは?】

【施術報告 脚の麻痺】施術例53 術後から右脚の感覚がなく動かせない!!(一過性の阻血性麻痺)

2025年11月4日

患者情報

40代女性/会社員/一之江在住

症状

 手術後から右脚が麻痺してしまった。動かすことが出来ないだけでなく、触られている感覚や温感や冷感も感じられない。手術をした病院で検査を受けて異常はなく、医師からは、「手術中の固定具による一過性の麻痺である」と言われている。

経過を施術内容

初診時の所見

各関節のMMT(徒手筋力測定)を確認した。結果は以下の通りであった。

右股関節:屈曲5 伸展5

右膝関節:屈曲3 伸展3

右足関節:屈曲2 伸展1

右足趾:屈曲2 伸展1

特に「足関節の背屈」と「足趾の伸展」の麻痺が顕著であった。また、右膝から遠位は蒼白しており冷感が強い。足底は触覚も麻痺しており地面の凸凹が感知できない常状態であることが確認でした。さらに、足底の皮膚は荒れて捲れていることのも確認でした。検査の結果から推測するに、手術中に膝窩(総腓骨神経)と腓骨頭(浅腓骨神経)の2か所で緊縛が起こっていたのではないかと考えられた。病院での精密検査と初診の所見から、神経の切断や変性はなく、血流に異常はないため回復が見込めると判断し治療を行うこととした。

初診~第7診

 右下肢の筋萎縮防止のためのEMS、温熱療法にて冷感温感の感覚改善、手技による触覚改善を実施した。第7診時のMMTは以下の通りであり順調な改善であった。

右膝関節 屈曲5 伸展5

右足関節 屈曲4 伸展3

右足趾 屈曲4 伸展3

しかし、足趾と足底は触覚が鈍く地面を捉えている感覚が乏しいということであった。

第8~10診

 第7診後に職場復帰したが、バス乗車中は揺れなどに不安感を感じる状態あった。問題が発生したのが第10診の時で、外反母趾と内反小趾の部分が赤く腫れあがっていた。患部の感覚は乏しいため、患者様本人は痛みを感じていないため腫れにも気が付いていなかった。靴を幅広なものに変更して頂く予防することにした。

第11~20診

 スポーツ活動は難しいものの日常生活は問題なく送れているため、患者様自身は順調な回復を喜ばれているが、施術者としては患者様の活動量が増えるにつれ注意が必要となった。足部の感覚はいまだ鈍い状態にあるため、何らかの怪我をしても患者様自身が気づかないリスクがあった。段差や傾斜のある地面での足関節捻挫などの外傷には特に注意を払った。

第21診

 ジョギングが再開できるまで回復したため約3ヵ月で治癒となった。

考察

 手術中の肢位に「砕石位」というものがあります。坐骨神経麻痺や腓骨神経麻痺が起こりやすいだけでなく、脈管系も圧迫され一過性の阻血症状が起こることもあるようです。本症例では浅腓骨神経支配の筋の麻痺が特に顕著であったことから、この砕石位をとっていた時間帯に麻痺が進行したものと考えられます。整骨院で取り扱う症例としてはかなり珍しい症状でしたが、患者様の治療に対する積極的な姿勢と自宅でのセルフケアが良い治療結果につながったと感じました。

使用した技

EMS(コアレ)、ハイボルテージ療法、超音波治療、リハビリ、温熱療法、冷罨法、手技、ストレッチ

●足の症状

ゴムハンマー整体®️足のスネ

船堀発祥のゴムハンマー整体®︎シンスプリントの緩和

船堀発祥のゴムハンマー整体®︎シンスプリント(前脛骨筋のケース)の緩和

丸山式ゴムハンマー整体®︎前脛骨筋腱の腱鞘炎

丸山式ゴムハンマー整体®︎足関節脱臼骨折治癒後のリハビリ
丸山式ゴムハンマー整体®︎足首の痛み

ゴムハンマー整体®︎ふくらはぎ

船堀発祥のゴムハンマー整体®︎足のむくみケア

●足裏の症状

丸山式ゴムハンマー整体®︎足裏のコリ

丸山式ゴムハンマー整体®︎足底筋膜炎

有痛性外脛骨の改善【船堀発祥ゴムハンマー整体®︎&ストレッチ】

●踵の痛み

船堀のはればれ当院のメニュー

料金・アクセス

お得なキャンペーン

足の痛み、ふくらはぎの痛みをさらに根本的に改善、再発防止、予防をご希望の方は、ゴムハンマー整体EMS、パーソナルトレーニング、、ダイエット、メンタルケア、栄養アドバイスなどがございます。

【船堀のはればれ鍼灸整骨院のメリットとは?】

【施術報告 足の痛み】施術例54 ふくらはぎに激痛!!(下腿三頭筋肉ばなれ)

2025年11月2日

患者情報

40代女性/会社員/東小松川在住

症状

 横断歩道を横断中に信号が赤に変わりそうになったので、ダッシュをした瞬間にポップ音とともに左ふくらはぎに激痛が走った。直後から体重をかけることが出来なくなりびっこを引いて帰宅した。

経過と施術内容

初診

 受傷翌日に来院。跛行がみられ、左ふくらはぎは腫れていた。左ふくらはぎの内側に圧痛が確認できたため超音波画像診断装置(エコー検査)で患部を観察した。左腓腹筋に筋線維の断裂がみられ血腫が確認できた。超音波治療で血腫を軽減させたところ、荷重は可能となった。歩行時の蹴り出しが出来ないためテーピングと包帯固定を施し、つま先を外に向けて歩く外旋位歩行を指導した。

初診時のエコー画像:腓腹筋線維の断裂が確認できる(赤丸)

第2診

 痛みは消失しツッパリ感のみとなり改善がみられた。治療は、手技と物理療法を行った。物理療法は筋収縮を促しながら超音波を行った。テーピングと包帯固定は継続とした。

第3~9診

 通常歩行は可能となっており日常生活は問題なく送れるところまで回復していたが、損傷部には硬結が出来ておりダッシュやジャンプをするには強度が十分ではない状態であった。損傷部にストレッチを加えながら超音波を照射し柔軟性の向上をはかった。第9診では硬結は消失したため治療は終了となった。

考察

 肉離れの痛みは1週間程度で落ち着くことが多く、その段階で完治したと認識される患者様が多いです。この状態でスポーツ活動を再開すると高確率で再受傷します。再受傷した場合は、治療期間がさらに長くなります。初回の受傷でしっかりと完治させることが大切です。

使用した技

エコー画像診断装置、超音波治療、コンビネーション治療、ストレッチ、固定

●足の症状

ゴムハンマー整体®️足のスネ

船堀発祥のゴムハンマー整体®︎シンスプリントの緩和

船堀発祥のゴムハンマー整体®︎シンスプリント(前脛骨筋のケース)の緩和

丸山式ゴムハンマー整体®︎前脛骨筋腱の腱鞘炎

丸山式ゴムハンマー整体®︎足関節脱臼骨折治癒後のリハビリ
丸山式ゴムハンマー整体®︎足首の痛み

ゴムハンマー整体®︎ふくらはぎ

船堀発祥のゴムハンマー整体®︎足のむくみケア

●足裏の症状

丸山式ゴムハンマー整体®︎足裏のコリ

丸山式ゴムハンマー整体®︎足底筋膜炎

有痛性外脛骨の改善【船堀発祥ゴムハンマー整体®︎&ストレッチ】

●踵の痛み

船堀のはればれ当院のメニュー

料金・アクセス

お得なキャンペーン

足の痛み、ふくらはぎの痛みをさらに根本的に改善、再発防止、予防をご希望の方は、ゴムハンマー整体EMS、パーソナルトレーニング、、ダイエット、メンタルケア、栄養アドバイスなどがございます。

【船堀のはればれ鍼灸整骨院のメリットとは?】

【施術報告 足痛】施術例56 空手の稽古中前蹴りをした際に痛めてしまったハムストリングの肉離れ

2025年10月16日

【患者情報】

20代男性/会社員/一之江町在住

【症状】

・右ハムストリングスの圧痛・動作時痛(伸展時)

空手の稽古中、前蹴りを行った際に右ハムストリングス内側上部(半腱様筋・半膜様筋)を受傷した。医療機関でのエコー検査により軽度の肉離れの疑いと診断されている。主な症状は右ハムストリングス内側上部の圧痛と、脚を伸展させる際の痛みである。痛みは動作時に出現し、安静時には症状は認められない。症例者は身体を動かす仕事に従事しており、受傷後は動作を制限しながら業務を継続していた。

【経過と施術内容】

初診時の触診では、右ハムストリングス内側上部に強い圧痛が認められ、脚の伸展時には可動域制限とツッパリ感が確認された。初回施術では受傷から時間が経過していたため、筋肉の硬結を緩めることを主眼に置いた治療方針を採用し、超音波で温熱作用を使いながらハイボルトのコンビネーション治療を実施し、硬結部位に対して鍼をした。初回施術後、症例者は可動域の改善とツッパリ感の軽減を自覚した。施術を重ねるごとに症状は改善し、5回の施術で大幅な改善が得られ競技復帰可能になったため施術終了とした。

【考察】

本症例は空手の稽古中に発生した軽度の肉離れの疑いに対し、超音波・ハイボルト治療と鍼施術を組み合わせた治療を行った事例である。受傷から時間が経過していたため、筋肉の硬結を緩めることに重点を置いた治療方針が効果的であった。初回施術から症状の改善が認められ、5回の施術で大幅な改善が得られた。軽度の肉離れに対しては、受傷からの経過時間を考慮した適切な治療アプローチが重要であることが示唆された。

【使用した技】

ハイボルト・超音波治療器・鍼治療(殷門、承扶)・コアレ(EMS)・トレーニング

【足の痛み日頃のケアは?】

ストレッチやゴムハンマーなどで体を柔らかくするのを忘れずにしてくださいね。ふくらはぎの痛みのケアになります。

●足の症状
画像に alt 属性が指定されていません。ファイル名: IMG_4493-300x225.jpg

ゴムハンマー整体®️足のスネ

船堀発祥のゴムハンマー整体®︎シンスプリントの緩和

船堀発祥のゴムハンマー整体®︎シンスプリント(前脛骨筋のケース)の緩和

丸山式ゴムハンマー整体®︎前脛骨筋腱の腱鞘炎

丸山式ゴムハンマー整体®︎足関節脱臼骨折治癒後のリハビリ
丸山式ゴムハンマー整体®︎足首の痛み

ゴムハンマー整体®︎ふくらはぎ

船堀発祥のゴムハンマー整体®︎足のむくみケア

●足裏の症状
画像に alt 属性が指定されていません。ファイル名: IMG_0894-300x300.jpg

丸山式ゴムハンマー整体®︎足裏のコリ

丸山式ゴムハンマー整体®︎足底筋膜炎

有痛性外脛骨の改善【船堀発祥ゴムハンマー整体®︎&ストレッチ】

●踵の痛み
画像に alt 属性が指定されていません。ファイル名: IMG_4495-300x225.jpg

船堀のはればれ当院のメニュー

料金・アクセス

お得なキャンペーン

画像に alt 属性が指定されていません。ファイル名: top_mesode-281x300.png

足の痛み、ふくらはぎの痛みをさらに根本的に改善、再発防止、予防をご希望の方は、ゴムハンマー整体EMS、パーソナルトレーニング、、ダイエット、メンタルケア、栄養アドバイスなどがございます。

【船堀のはればれ鍼灸整骨院のメリットとは?】

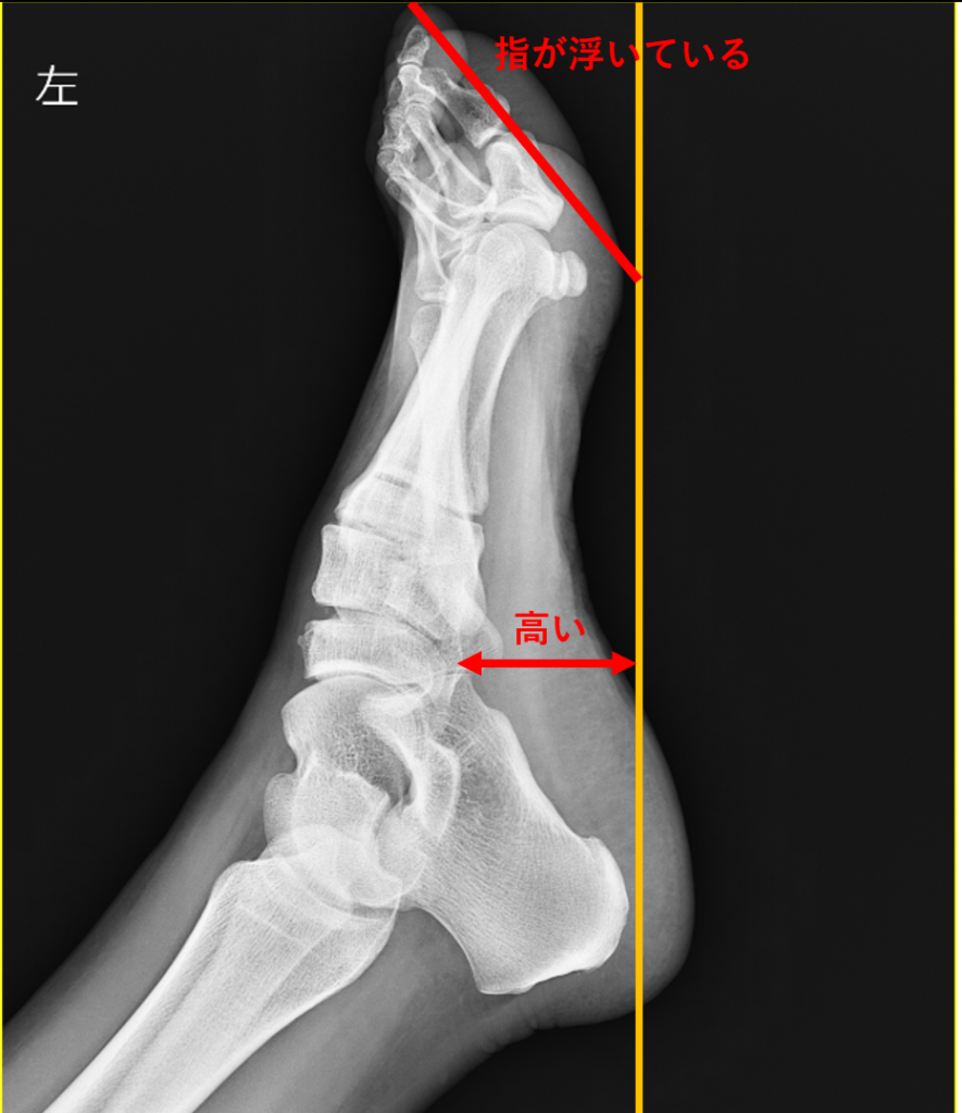
【施術報告 足痛】施術例51 足の甲が痛い(足部のアライメント異常) 

2025年10月10日

患者情報

30代女性/会社員/松江在住

症状

 2ヵ月くらい前から左足の甲に痛みがあった。1ヵ月前に整形外科を受診するもレントゲンで異常は見つからず足首の硬さが原因と説明された。整形外科で指導されたストレッチを自宅で実施したが改善がみられないため当院に来院。

経過と施術内容

初診

 左足のリスフラン関節内側が腫れており圧痛がみられた。つま先立ちで出来ない状態であった。受傷のきっかけはないが、仕事で重い安全靴(鉄板の入っている)を履き長時間歩くのが原因ではないかということであった。初回は超音波治療とテーピング固定を施した。患部の状態を詳しく調べるため再レントゲンとMRIの撮影をすることとなった。

第2診

 レントゲンとMRI撮影の結果、骨傷の所見はみられなかったが、舟状骨と楔状骨間が離開しており周辺に骨棘が確認できた。画像所見と腫れ及び圧痛の部位が一致していることから、この離開と骨棘が痛みの原因であると判明した。治療の方針としては、患部に対する物理療法と足部のアライメント修正を行うこととした。

患者様の足は、内側縦アーチ(土踏まず)が高い甲高の足で、足趾は浮指となっていた。

アライメントの修正方法としては、

  • 後脛骨筋・前脛骨筋の過緊張を緩和し高すぎる土踏まずを改善する。
  • 長母趾屈筋・長趾屈筋・足底内在筋をタオルギャザーで鍛え浮指を改善する。

この2方針をメインに施術をすることとした。

第3診

 後脛骨筋・前脛骨筋の緊張を取り除くと足の甲の痛みが緩和するので、仕事中はテーピングをして後脛骨筋・前脛骨筋の負担を軽減することとした。浮指の改善に関しては長期的なリハビリが必要なため自宅でも毎日3分間タオルギャザーを実施して頂くこととした。

第4診

 通常のスニーカーであれば足の甲に痛みが出ない状態まで改善したが、仕事の安全靴を履くと痛み出るというであった。仕事中にズレてしまうテーピングではなく、サポーターに変更し経過を見ることとした。

第5診

 サポーター着用で仕事中の足の甲の痛みは軽減された。しかし、浮指の影響で足底の痛みを強く感じるようになっていた。これまでは足の甲に対して実施していた物理療法を足底筋膜の当てるように変更した。

第6~13診

 仕事の忙しさによって、好不調の波があるものの改善に向かっていき第13診で痛みが消失したため施術は終了となった。

考察

 傷病名の付きにくい珍しい症例で、臨機応変な対応が求められた。初見では、歩き過ぎによる疲労骨折を疑っていたが、実際には足部の変形性関節症に近い状態であった。正確は所見をとることが大切であると実感した症例であった。

使用した技

テーピング、超音波治療、ハイボルト治療、リハビリ

●足の症状

ゴムハンマー整体®️足のスネ

船堀発祥のゴムハンマー整体®︎シンスプリントの緩和

船堀発祥のゴムハンマー整体®︎シンスプリント(前脛骨筋のケース)の緩和

丸山式ゴムハンマー整体®︎前脛骨筋腱の腱鞘炎

丸山式ゴムハンマー整体®︎足関節脱臼骨折治癒後のリハビリ
丸山式ゴムハンマー整体®︎足首の痛み

ゴムハンマー整体®︎ふくらはぎ

船堀発祥のゴムハンマー整体®︎足のむくみケア

●足裏の症状

丸山式ゴムハンマー整体®︎足裏のコリ

丸山式ゴムハンマー整体®︎足底筋膜炎

有痛性外脛骨の改善【船堀発祥ゴムハンマー整体®︎&ストレッチ】

●踵の痛み

船堀のはればれ当院のメニュー

料金・アクセス

お得なキャンペーン

足の痛み、ふくらはぎの痛みをさらに根本的に改善、再発防止、予防をご希望の方は、ゴムハンマー整体EMS、パーソナルトレーニング、、ダイエット、メンタルケア、栄養アドバイスなどがございます。

【船堀のはればれ鍼灸整骨院のメリットとは?】

【施術報告 足痛】施術例50 レントゲンで異常がないのに…足の甲が痛くて走れません!!(第2中足骨疲労骨折)

2025年10月10日

患者情報

男子高校生/陸上部長距離選手/東小松川在住

症状

 陸上部の合宿後から右足の甲に痛みを感じるようになり走ることが出来なくなった。合宿の翌日に整形外科でレントゲン撮影したが異常は見られなかった。1週間様子をみていたが改善がみられず当院に来院した。

経過と施術内容

初診

 右足の甲は腫れており、第2中足骨に圧痛があり、つま先立ちが出来ない状態であった。合宿中は走行距離が大幅に増加していたこともあり、「疲労骨折」を疑い超音波画像診断装置で観察した。第2中足骨の圧痛部位周辺に血流が増加している像が確認できたため「疲労骨折」の可能性が極めて高いと判断し、1週間後に提携の整形外科で再レントゲン撮影をすることとした。

※1 血流が増加しているということは、骨修復が進行していること示している。

※2 痛みが発生し約2週間経過するとレントゲンで仮骨が確認できるようになるため疲労骨折が判明するケースが多いため。

第2診

 翌日の午後に来院。来院時には右足シーネで固定されていた。話を伺ったところ、家族と相談し午前中にMRIの検査を受け「第2中足骨疲労骨折」と診断され、3週間後に再検査の予定になったとのことだった。翌日から2回目の合宿が始まるが、荷重のかかる練習メニューは中止することにして骨の修復を図ることになった。

※MRIであれば、疲労骨折の早期診断が可能です。

第3診

 合宿中は、体幹トレーニングなど荷重のないメニューのみを行っていたこともあり、通常歩行での痛みはなくなっていた。しかし、患部には膨隆がみられ骨形成が完全に終了していないと判断し、ゴムチューブを使用した非荷重の右足関節の筋力訓練のみを開始した。

第4~5診

 第4診では、つま先立ちが出来るようになっており、患部の膨隆も消失していたため固定を外すことになった。再検査前日の第5診では、経過良好でMRI検査結果を待って競技復帰をする運びとなった。

第6診

 病院でのMRIの再検査では、骨癒合は終了しており陸上競技復帰となったが、練習強度は段階的に上げていくようし、違和感があれば直ちにコーチの伝えるよう説明した。1カ月後に大会を控えているため、それまでは経過を観察することとした。

第7~11診

 痛みの再発なくパフォーマンスを取り戻すことができ大会に出場することとなったが、監督やコーチと相談した結果、大事をとって今回の大会では、本来の20㎞ではなく10㎞に変更し出場した。大会翌日の第11診でも痛いや違和感はなかったため施術は終了となった。

考察

 中足骨の疲労骨折は、初期の段階ではレントゲンに写らず見逃されやすい怪我です。さらに、競技復帰の段階で再発するケースも多く、慎重な経過観察が必要になります。今回の症例では、選手自身がネットで情報を調べ、早期診断が可能なMRI検査を選択したことや監督・コーチが適切な練習メニューや復帰プログラムを組んで頂いたことが順調な回復につながったケースだと感じました。

使用した技

超音波画像診断装置、超音波治療、リハビリ、トレーニング

●足の症状

ゴムハンマー整体®️足のスネ

船堀発祥のゴムハンマー整体®︎シンスプリントの緩和

船堀発祥のゴムハンマー整体®︎シンスプリント(前脛骨筋のケース)の緩和

丸山式ゴムハンマー整体®︎前脛骨筋腱の腱鞘炎

丸山式ゴムハンマー整体®︎足関節脱臼骨折治癒後のリハビリ
丸山式ゴムハンマー整体®︎足首の痛み

ゴムハンマー整体®︎ふくらはぎ

船堀発祥のゴムハンマー整体®︎足のむくみケア

●足裏の症状

丸山式ゴムハンマー整体®︎足裏のコリ

丸山式ゴムハンマー整体®︎足底筋膜炎

有痛性外脛骨の改善【船堀発祥ゴムハンマー整体®︎&ストレッチ】

●踵の痛み

船堀のはればれ当院のメニュー

料金・アクセス

お得なキャンペーン

足の痛み、ふくらはぎの痛みをさらに根本的に改善、再発防止、予防をご希望の方は、ゴムハンマー整体EMS、パーソナルトレーニング、、ダイエット、メンタルケア、栄養アドバイスなどがございます。

【船堀のはればれ鍼灸整骨院のメリットとは?】

【施術報告 脚痛】施術例49 テニス中に右もも裏に激痛が!!(ハムストリングス肉離れ)

2025年09月4日

患者情報

50代女性/主婦/東小松川在住

症状

テニスの試合中に前方に落ちたボールを追いかけた際に右もも裏に痛みが走った。

経過と施術内容

初診

 受傷翌日に来院。跛行がみられ歩行困難、右大腿部後面には皮下出血が確認できた。超音波画像診断装置で患部を観察したところ、坐骨結節のやや遠位に低エコー像がみられ筋繊維の損傷に伴う出血が確認できた。「ハムストリングス肉離れ」と判断しアイシングをしたのち包帯固定の処置を行った。

※低エコー像:液体などが貯留している場合に見られます。ここでは出血があることを意味します。

第2~9診

 組織修復を促進する物理療法を実施した。包帯固定は継続した。第9診の段階では、患部に瘢痕組織が形成され通常の歩行は可能となっていた。

※瘢痕組織:切り傷でいうところの瘡蓋(かさぶた)のようなものです。

第8診目の外観:皮下出血も消失しつつある

第10~16診

 テニス復帰に向けてリハビリを開始した。EMSを使用し筋収縮を促進した後、伏臥位の状態で可能は範囲で膝の屈曲運動(レッグカールのような動き)を行った。

第17~22診

 損傷部位の柔軟性を高めため超音波治療を開始した。軽いジョギングから始めて頂き、違和感がないことを確認しながら運動強度を高めていった。受傷から約1ヶ月で軽いラリーが出来るようになった。

第23~33診

 手技とストレッチと患部状態を高める治療と平行し、試合形式の練習にも参加するようにして頂いた。受傷から約2ヶ月半で全力でのプレーが可能となり治療は終了した。

考察

 この患者様は、週5日12~14時でテニスをしており夏場の最も気温が高い時間帯にテニスをしていました。連日の疲労にミネラルの不足などが加わり受傷したものと思われます。夏場のスポーツは、十分な休養と食事をとり無理のない範囲で行うことが大切だと感じました。

使用した技

マイクロカレント、超音波治療、包帯固定、ストレッチ、超音波画像診断装置、EMS(コアレ)

●足の症状

ゴムハンマー整体®️足のスネ

船堀発祥のゴムハンマー整体®︎シンスプリントの緩和

船堀発祥のゴムハンマー整体®︎シンスプリント(前脛骨筋のケース)の緩和

丸山式ゴムハンマー整体®︎前脛骨筋腱の腱鞘炎

丸山式ゴムハンマー整体®︎足関節脱臼骨折治癒後のリハビリ
丸山式ゴムハンマー整体®︎足首の痛み

ゴムハンマー整体®︎ふくらはぎ

船堀発祥のゴムハンマー整体®︎足のむくみケア

●足裏の症状

丸山式ゴムハンマー整体®︎足裏のコリ

丸山式ゴムハンマー整体®︎足底筋膜炎

有痛性外脛骨の改善【船堀発祥ゴムハンマー整体®︎&ストレッチ】

●踵の痛み

船堀のはればれ当院のメニュー

料金・アクセス

お得なキャンペーン

足の痛み、ふくらはぎの痛みをさらに根本的に改善、再発防止、予防をご希望の方は、ゴムハンマー整体EMS、パーソナルトレーニング、、ダイエット、メンタルケア、栄養アドバイスなどがございます。

【船堀のはればれ鍼灸整骨院のメリットとは?】

【施術報告 足痛】施術例48 こむら返りではなく「ふくらはぎの肉離れ」です!!(下腿三頭筋肉離れ)

2025年08月21日

患者情報

50代男性/会社役員/二之江町在住

症状

 ゴルフ中に坂道を駆け上がろうとした際に左のふくらはぎに痛みが走った。痛みを我慢しどうにかコースを回り切ったが、翌日から体重を掛けることが出来なくなってしまった。酷いこむら返りかと思っていたが改善が思わしくなく受傷から6日後に当院を受診。

経過と施術内容

初診

 歩様は左脚を引きずるような跛行がみられた。左下腿(ふくらはぎ)全体の筋緊張が強く、内側に皮下出血が確認でした。超音波画像診断装置で患部を観察したところ、左腓腹筋外側頭に低エコー像と筋繊維の乱れが確認された。受傷から6日経過しており瘢痕形成が進んでする状況であった。初回処置としては、損傷した筋の修復を促進する物理療法を行った。患部の安静を図るためシーネ固定(硬性固定)を勧めたが、患者様の希望で包帯固定のみとした。歩行については、つま先を外側に向けて歩く(外旋位歩行)ようにしてもらい患部に負担が掛からないようにした。

左ふくらはぎの外側に内出血がみられる

第2診

 1週間後に来院。跛行はみられず通常の歩行が可能となっていた。仕事はデスクワークであるため包帯固定ではなく、カーフスリーブに変更した。初回に引き続き患部の修復を促進する物理療法を実施した。

第3診

 1週間後に来院。患部の状態を超音波画像診断装置で再度観察したところ、低エコー像はなく損傷部位はすべて瘢痕組織で埋まっていた。瘢痕化した組織は柔軟性が乏しくストレッチ時に突っ張り感を訴えていたため超音波療法を実施し柔軟性を改善をはかった。

※低エコー像:液体などが貯留している場合に見られます。ここでは出血があることを意味します。

※瘢痕組織:切り傷でいうところの瘡蓋(かさぶた)のようなものです。

第4診

 1週間後に来院。患部の強度および柔軟性の改善がみられたため、打ちっ放しの練習は再開して良いこととした。跳躍系の動作には不安感があるため瞬発系の動きは控えて頂くこととした。第4診ではストレッチを掛けた状態で超音波治療を実施した。

第5診

 1週間後に来院。ジャンプ動作でも不安感はなくなっておりゴルフコースに出ることを許可した。患者様の生活スタイルから瞬発力を要する動きは少ないと判断し、施術は終了とした。

考察

 ふくらはぎの肉離れはスポーツ活動中によくみられるケガです。受傷直後に断裂部を接近させ固定することで瘢痕組織の面積を最小限に抑えることがその後の回復具合を左右します。本症例では、受傷から6日経過後の受診だったため断裂部を接近させる処置が出来ませんでしたが、生活スタイルが下肢に負担のかかる様式ではなく趣味もゴルフということで問題なく施術を終えることができました。しかし、バレーボールやテニスなど瞬発力を必要とするスポーツをされている方であれば、筋力や柔軟性をさらに入念に確認しながらの復帰が必要であったと思われる症例でした。

【使用した技】

超音波治療器、ストレッチ、超音波画像診断装置、マイクロカレント

【足の痛み日頃のケアは?】

ストレッチやゴムハンマーなどで体を柔らかくするのを忘れずにしてくださいね。ふくらはぎの痛みのケアになります。

●足の症状

ゴムハンマー整体®️足のスネ

船堀発祥のゴムハンマー整体®︎シンスプリントの緩和

船堀発祥のゴムハンマー整体®︎シンスプリント(前脛骨筋のケース)の緩和

丸山式ゴムハンマー整体®︎前脛骨筋腱の腱鞘炎

丸山式ゴムハンマー整体®︎足関節脱臼骨折治癒後のリハビリ
丸山式ゴムハンマー整体®︎足首の痛み

ゴムハンマー整体®︎ふくらはぎ

船堀発祥のゴムハンマー整体®︎足のむくみケア

●足裏の症状

丸山式ゴムハンマー整体®︎足裏のコリ

丸山式ゴムハンマー整体®︎足底筋膜炎

有痛性外脛骨の改善【船堀発祥ゴムハンマー整体®︎&ストレッチ】

●踵の痛み

船堀のはればれ当院のメニュー

料金・アクセス

お得なキャンペーン

足の痛み、ふくらはぎの痛みをさらに根本的に改善、再発防止、予防をご希望の方は、ゴムハンマー整体EMS、パーソナルトレーニング、、ダイエット、メンタルケア、栄養アドバイスなどがございます。

【船堀のはればれ鍼灸整骨院のメリットとは?】

1 2 3 4 5